
新闻动态
联系我们
陕西依科生物技术服务有限公司首页 > 实验问题解答 > 组织、细胞吉林tunel检测
陕西依科生物技术服务有限公司免费为您提供{吉林LFB染色},{吉林阿利新蓝染色},{吉林普鲁士蓝染色}等一些相关信息的展示发布,请您关注本站!
一、TUNEL染色实验原理
实验原理 TUNEL(TdT-mediated dUTP nick end labeling)细胞凋亡检测试剂盒是用来检测组织细胞在凋亡早期过程中细胞核DNA的断裂情况。其原理是荧光素(fluorescein)标记的dUTP在脱氧核糖核苷酸末端转移酶(TdT Enzyme)的作用下,可以连接到凋亡细胞中断裂DNA的3’-OH末端,并与连接辣根过氧化酶(HRP,horse-radish peroxidase)的荧光素抗体特异性结合,后者又与HRP底物二氨基联苯胺(DAB)反应产生很强的颜色反应(呈深棕色),特异准确地定位正在凋亡的细胞,因而在光学显微镜下即可观察凋亡细胞;由于正常的或正在增殖的细胞几乎没有DNA断裂,因而没有3’-OH形成,很少能够被染色。本试剂盒适用于组织样本(石蜡包埋、冰冻和超薄切片)和细胞样本(细胞涂片)在单细胞水平上的凋亡原位检测。还可应用于抗肿瘤药的药效评价,以及通过双色法确定细胞死亡类型和分化阶段。
二、吉林石蜡切片TUNEL染色实验步骤
1.石蜡切片脱蜡至水:依次将切片放入二甲苯Ⅰ8min-二甲苯Ⅱ8min-无水乙醇Ⅰ 6min-无水乙醇Ⅱ6min-95%酒精 6min-85%酒精 6min-75%酒精 5min-流水冲洗;
2.通透:用20ug/ml的Proteinase K工作液处理组织15min或者细胞爬片加细胞通透液0.3% TritonX-100 15min;
3.漂洗:PBS漂洗2次;每次8min;
4.灭活:0.3%甲醇过氧化氢灭活15min;PBS漂洗2次;每次8min;
5.封闭:5%BSA室温封闭1h;
6.制备TUNEL反应液:制备TUNEL反应混合液,处理组用50μl TdT+450μl 荧光素标记的dUTP液混匀;而阴性对照组仅加50μl 荧光素标记的dUTP液,阳性对照组先加入100μl DNase 1,后面步骤同处理组。
7.滴加TUNEL反应液:玻片干后,加50μl TUNEL反应混合液(阴性对照组仅加50μl 荧光素标记的dUTP液)于标本上,加盖玻片或封口膜在暗湿盒中反应37℃×1h。
8.漂洗:PBS漂洗3次,每次8min;
9.镜下观察:可以加1滴PBS在荧光显微镜下计数凋亡细胞(激发光波长为450~500nm,检测波长为515~565nm);DAPI复染核,PBS漂洗3次,每次8min;抗荧光淬灭剂封片。
10.(白光tunel)滴加POD:(白光tunel)玻片干后加50μl converter-POD于标本上,加盖玻片或封口膜在暗湿盒中反应37℃×30min。
11.漂洗:PBS漂洗3次,每次8min;
12.DAB反应:在组织处加50~100μl DAB底物,镜下观察;
13.漂洗:PBS漂洗3次;
14.苏木素复染:拍照后再用苏木素复染,几秒后立即用自来水冲洗。梯度酒精脱水、二甲苯透明、吉林中性树胶封片。
15.拍照时可结合凋亡细胞形态特征来综合判断(未染色细胞变小,胞膜完整但出现发泡现象,晚期出现凋亡小体,贴壁细胞出现邹缩、变圆、脱落;而染色细胞呈现染色质浓缩、边缘化,核膜裂解,染色质分割成块状/凋亡小体)
对于培养细胞的预处理:
①在载玻片上铺一层薄薄的多聚赖氨酸,干燥后在去离子水中漂洗,干燥后4℃保存;
②适当方法诱导细胞凋亡,同时设未经诱导的对照组,各组离心收集约1×106个细胞,PBS洗一次,重悬,加到铺好的多聚赖氨酸载玻片上,自然干燥,使细胞很好的吸附到载玻片上;
③将吸附细胞的载玻片在吉林4%多聚甲醛中固定25min;
④PBS浸洗二次,每次5min;
⑤将吸附细胞的载玻片在0.3%的Triton X-100中处理5min;
⑥PBS浸洗二次,每次5min;
后续操作如同石蜡包埋切片的6-15。
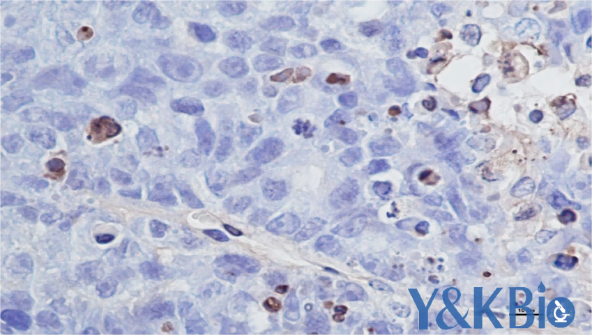
三、染色结果判读:1.白光tunel(加pod)阳性结果棕色;
2.荧光tunel:DAPI染出来的细胞核在紫外的激发下为蓝色,阳性表达为绿色。
结果展示:


{陕西依科生物技术服务有限公司}口碑怎么样?{吉林LFB染色}哪里好?{吉林阿利新蓝染色}找哪家?陕西依科生物技术服务有限公司专业从事{生物科研试剂的研发、销售及相关技术服务}